2024欧洲杯下注平台_2024欧洲杯买球APP-官网

图片

当前位置: 首页>妇科医话┃多学科联合 解锁少女幸福人生

阅读数(1516次)

妇科医话┃多学科联合 解锁少女幸福人生

发布人:网站管理员 最后更新时间:2024年5月9日
       立春这一天,徐州市中医院妇科诊室来了一位特殊的小病号。16岁的花季少女王某突发怪病,腰酸腹痛症状明显,大小便后稍能缓解。最奇怪的是年满16周岁,竟然至今无月经来潮。经过全方面的检查后,查出王某患有I型阴道闭锁。徐州市中医院妇科启动多学科联合诊疗(MDT),协同泌尿外科、皮肤科、影像科及超声科等科室,为王某联合定制了具体手术方案。手术进展顺利,王某后期恢复良好。
       什么是阴道闭锁?
       阴道闭锁是一种较罕见的先天性阴道发育异常疾病。根据阴道闭锁的解剖学特点,可将其分为①阴道下段闭锁,也称为I型阴道闭锁,阴道上段及宫颈、子宫均发育正常;②阴道完全闭锁,也称为II型阴道闭锁,大多数合并宫颈、宫体发育不良或子宫畸形。
       阴道闭锁临床症状
       无月经初潮
       周期性腹痛
       阴道下段闭锁患者,子宫内膜功能正常,出现症状早且严重,因经血淤积在宫颈、宫腔常导致周期性下腹部坠痛,且有越来越痛的趋势。
       盆腔疼痛
       阴道完全闭锁患者,子宫内膜功能及子宫发育不完善,症状出现较晚,经血容易逆流至盆腔,引起感染,可表现为盆腔疼痛,并逐渐加重。
       性交障碍

       部分患者到了适婚适孕年龄,由于阴道闭锁没有阴道口,性交困难。


       病例分享
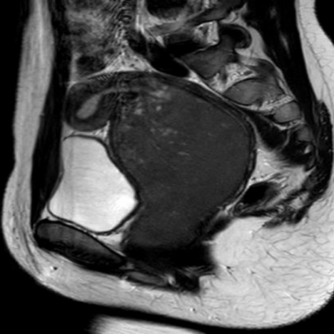
       16岁花季少女,第二性征发育及营养状况良好,无躯体及头面部发育畸形,至今竟无月经来潮,完善经腹部超声提示盆腔探及囊性暗区71*68mm,逐步完善盆腔MRI及经直肠超声、专科检查,揭开了神秘的面纱。

   

       多学科联合诊疗(MDT)


       由妇科牵头,赵凯主任医师以及泌尿外科、皮肤科、影像科及超声科多位学科专家联合会诊,经充分讨论商榷认为,王某I型阴道闭锁诊断明确,手术过程中造成膀胱、直肠、尿道的损伤风险也较大。最终专家们为患者制定了详实缜密的手术方案。



       患者麻醉成功后,泌尿外荆志涛主任医师及董效飞医师先行膀胱镜检查及输尿管支架置入术,膀胱镜检查提示患者膀胱及输尿管开口发育正常,并顺利放置输尿管支架管。
       妇科赵凯主任医师顺利行阴道闭锁切开、阴道成形术,术中自阴道引流出陈旧性积血约300ml,予放置阴道模具,预防阴道发生粘连,再次形成阴道闭锁。
       手术效果立竿见影,术后腰酸腹痛症状消失,术后恢复良好,第7日取出阴道模具,并每日以阴道扩张,直至患者阴道外口可容两指大小。出院2周后,该名小患者在家长陪同下来院复诊,专科检查可见阴道外口愈合良好,无瘢痕挛缩,可顺利通容三指。

       健康小贴士
       婴幼儿、儿童期,若父母发现女孩无阴道开口,应及时就医。青春期,若发现少女月经迟迟未潮,或出现不明原因的周期性下腹疼痛,应警惕阴道闭锁的可能,及时就医。

专家介绍

赵凯
主任中医师
院名中医

       从事妇产科工作30年,善于处理妇科复杂问题,能良好完成各种妇科大、中型手术,尤其在妇科微创技术方面,优势明显,水平居全国先进行列。在省内首批获得四级妇科宫、腹腔镜手术资格,多次获得省市级新技术引进奖。在省级以上专业杂志发表文章20余篇。尤其对妇科良、恶性肿瘤、盆底松弛(尿失禁、子宫脱垂、便秘)、慢性盆腔疼痛、痛经、子宫及阴道畸形、 HPV 感染等疾病诊疗经验丰富。
       门诊时间:每周二上午、周五上午。

蒋小飞
医学博士 主任中医师 硕士生导师
江苏省第三批名老中医药专家学术经验继承人,师从江苏省中医药中医妇科领军人才、著名中医妇科专家周惠芳教授。

       擅长妇科良恶性肿瘤、月经不调(多囊卵巢综合征、卵巢早衰、痛经等)、不孕症、子宫内膜异位症、慢性盆腔痛等疾病的治疗,擅长运用宫腔镜、腹腔镜诊断与治疗各类妇科疾病。
       门诊时间:周二上午、周五下午。

荆志涛
主任医师

       1987年毕业于镇江医学院,1995年在南京市鼓楼医院泌尿外科进修一年,致力于泌尿外科临床工作二十余年,熟练掌握泌尿系肿瘤、结石、先天畸形等重大、疑难手术。重点发展微创手术,较早开展并熟悉腹腔镜手术、前列腺电切术、腔内碎石技术等。腹腔镜手术:腹腔镜肾上腺切除术,乳糜尿肾蒂淋巴管结扎术,肾癌根治术,肾囊肿去顶减压术,肾积水肾盂成形术,精索静脉高位结扎术,膀胱癌全切术,前列腺癌根治术等。经皮肾镜输尿管镜碎石取石术,治疗复杂性肾结石,输尿管结石,较大膀胱结石等。经尿道电切术,治疗前列腺增生症,前列腺癌,膀胱肿瘤,输尿管口囊肿,膀胱颈部狭窄,精囊炎,精囊结石等。
       咨询电话:13852018836。